HOME
INSÓLITO
MUNDO
TEC
VIDEOS
TRABAJO
MOTIVACIONAL
SALUD
OPINIÓN
TierraPost
SALUD
Gotas de ojos alternativa a la cirugía de cataratas
INSÓLITO
Niña sorda escucha a su padre por primera vez
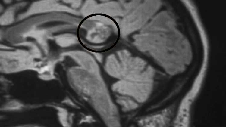
INSÓLITO
Tenía un embrión en el Cerebro