HOME
INSÓLITO
MUNDO
TEC
VIDEOS
TRABAJO
MOTIVACIONAL
SALUD
OPINIÓN
TierraPost
SALUD
Las bacterias intestinales causarían la artritis
TECNOLOGIA
e-STUDIO 360LP, Inventan una impresora que reutiliza el papel borrando la tinta
INSÓLITO
Promesa de amor – a los 93 años salta de 3000 metros de altura – Video –
MUNDO
¿Qué dicen los zapatos de un hombre de él (según nosotras)
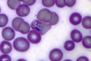
SALUD
Vivax Malaria – Un parásito que está mutando
INSÓLITO
3 Famosos que pararon en el psiquiátrico
TRABAJO
El Secreto más oscuro de la industria tecnológica: Es todo sobre la Edad
SALUD
Lady Gaga – secretos de su dieta –
SALUD
Videos juegos – Benefician al cerebro –
INSÓLITO
Snapchat Despreció una oferta de $ 3 mil millones de dólares de Facebook
« Anterior
Siguiente »